Especialidades

Microcirugía mucogingival

Tratamiento odontológico enfocado en encías y tejidos blandos

Esta página incluye imágenes de procedimientos quirúrgicos que podrían resultar explicitas.

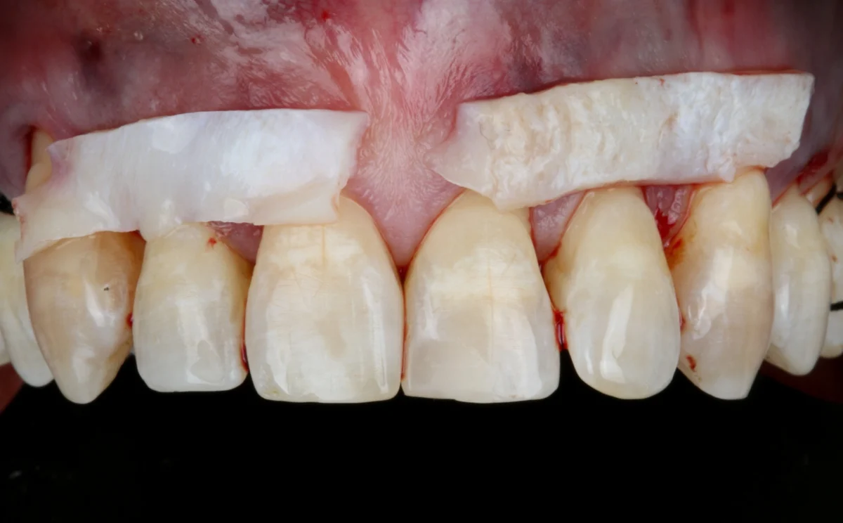
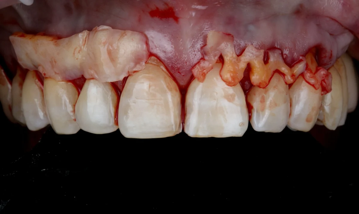
Qué es la microcirugía mucogingival

La microcirugía mucogingival es una técnica avanzada que se utiliza para corregir problemas estéticos y funcionales en los tejidos blandos de la boca, como encías retraídas o defectos gingivales. Esta intervención se realiza utilizando instrumental especializado y, a menudo, con la ayuda de microscopios quirúrgicos, lo que permite una mayor precisión y un trauma mínimo en los tejidos.

El objetivo principal es mejorar la cobertura radicular, aumentar la cantidad de encía queratinizada o mejorar la estética gingival. Al ser una técnica mínimamente invasiva, la microcirugía mucogingival favorece una cicatrización más rápida y reduce las molestias postoperatorias, proporcionando resultados óptimos tanto en función como en apariencia.

Pedir cita

Injertos de encía

El injerto de encía es un procedimiento quirúrgico destinado a corregir la recesión gingival, es decir, cuando las encías se retraen y dejan expuesta la raíz del diente. Este tratamiento consiste en tomar tejido de una zona donante, generalmente del paladar, o utilizar materiales biocompatibles, para cubrir las áreas afectadas y proteger las raíces expuestas.

El injerto de encía no solo mejora la estética de la sonrisa, sino que también previene la sensibilidad dental y el riesgo de futuras complicaciones como caries radicular o pérdida de hueso. Además, refuerza la estructura de las encías, proporcionando una protección duradera.

Alargamientos coronarios

El alargamiento coronario es un procedimiento quirúrgico diseñado para exponer una mayor porción de la corona dental al modificar el nivel de las encías y, en algunos casos, del hueso subyacente. Se realiza principalmente por razones estéticas, para mejorar la proporción diente-encía en personas con “sonrisa gingival”, o por motivos funcionales, como permitir la colocación de coronas o restauraciones en dientes que están muy desgastados o fracturados cerca de la línea de las encías. El alargamiento coronario mejora tanto la apariencia de la sonrisa como la salud bucodental, facilitando futuros tratamientos restauradores.

Servicios de cirugía e implantología oral

Microcirugía oral

Procedimiento quirúrigico microscópico de alta precisión.

Ver servicio
Implantología oral

Implantes de última generación, duraderos y estéticos.

Ver servicio
Cirugía guiada

Tecnologías avanzadas como la planificación digital y la impresión 3D.

Ver servicio
Microcirugía mucogingival

Tratamiento odontológico enfocado en encías y tejidos blandos.

Ver servicio
Regeneración ósea avanzada

Restaura volumen y calidad del hueso en pacientes con pérdida ósea.

Ver servicio
Sedación consciente

Conseguimos un estado de relajación y colaboración total del paciente.

Ver servicio
Implante post extracción

Una solución inmediata y estética tras la extracción de dientes irrecuperables.

Ver servicio
Planificación digital

Es fundamental para recopilar toda la información posible.

Ver servicio
¿Hablamos?

Google reCaptcha: Clave de sitio no válida.