Esta página incluye imágenes de procedimientos quirúrgicos que podrían resultar explicitas.

Caso clínico
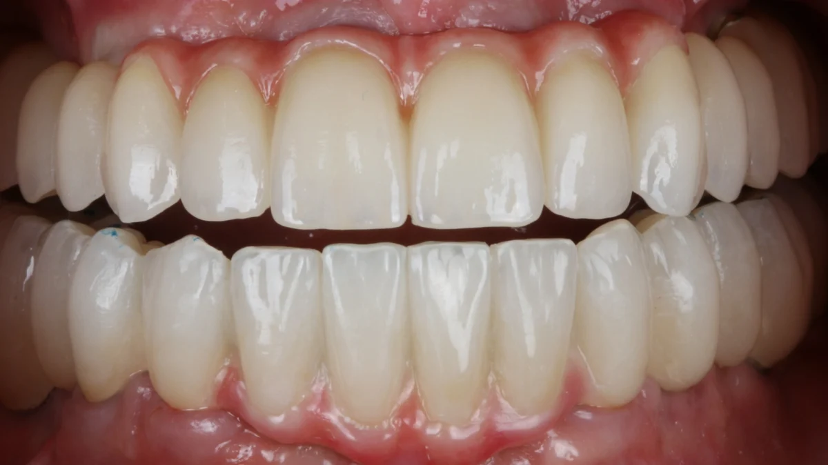
«Quiero volver a sonreír, quiero recuperar la confianza»
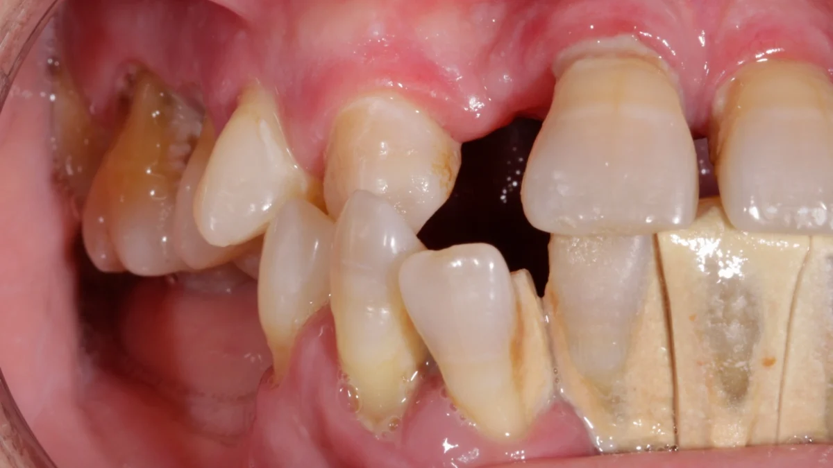
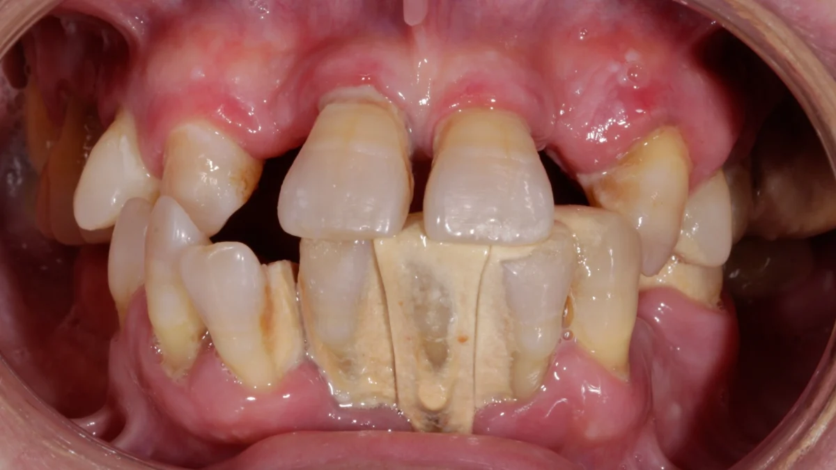
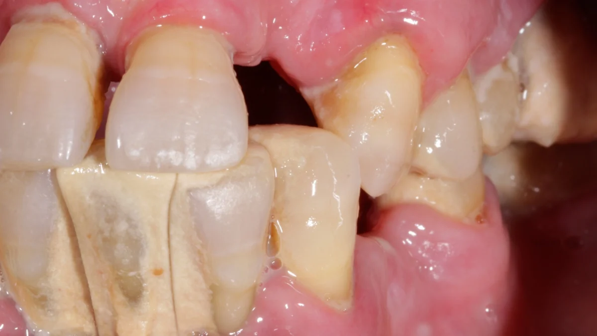
Paciente de 55 años, con grave problema oclusal, estético y periodontal. Sin antecedentes médicos de interés ni alergias, no fumadora (paciente ASA I).
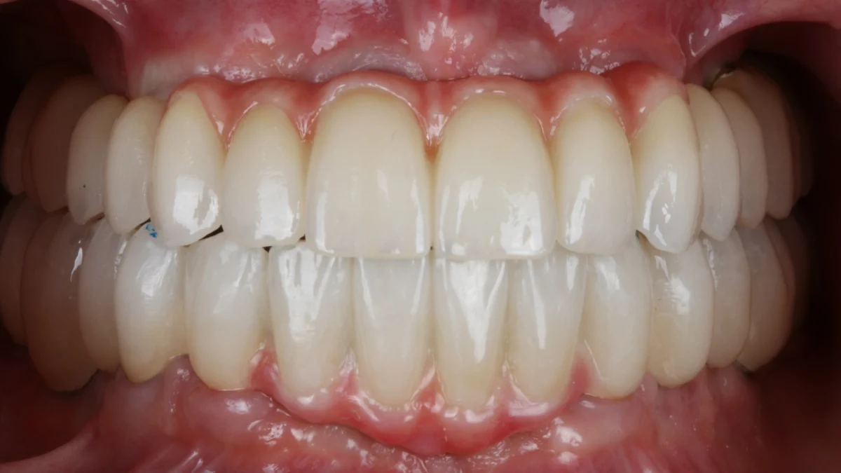
Tras realizar un estudio integral, planificamos un abordaje integral maxilar y mandibular basado en la colocación de implantes y regeneración ósea bajo sedación consciente y en quirófano. Colocamos carga inmediata superior e inferior, recuperando así la función y estética perdida en el mismo día. Finalmente, colocamos prótesis definitiva de zirconio con estructura de titanio, consiguiendo un resultado óptimo y cumpliendo así los objetivos de la paciente.
Este caso muestra como con ayuda de la planificación digital, se pueden resolver los casos más complejos.










