Esta página incluye imágenes de procedimientos quirúrgicos que podrían resultar explicitas.

Caso clínico
«Extracción canino incluido e implante inmediato»
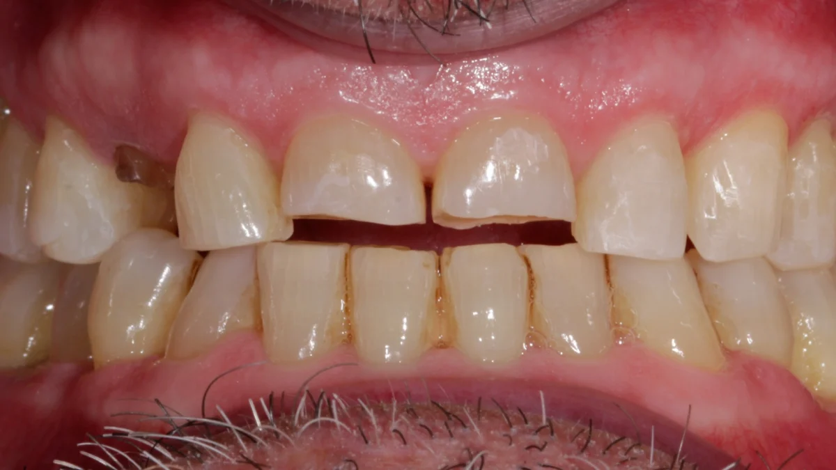
Paciente de 54 años, acude por fractura de pieza decidua 5.3. Sin antecedentes médicos de interés (pacientes ASA I)
Tras estudio digital integral, observamos canino 1.3 incluido, fractura de pieza decidua 5.3, apiñamiento y desgaste severo generalizado con dimensión vertical disminuida.
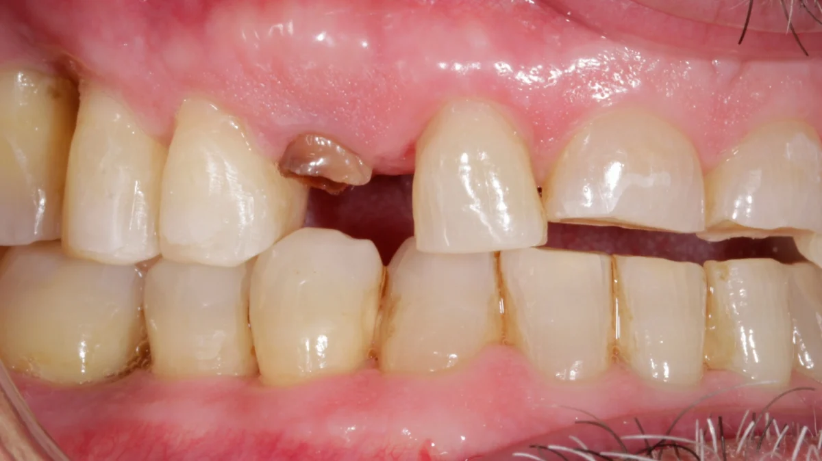
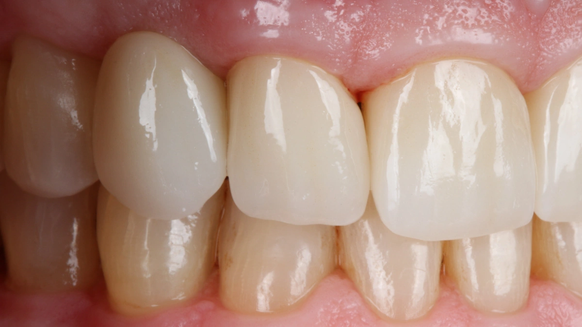
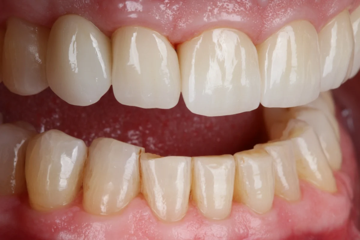
Tras descartar la tracción ortodóncica del canino incluido 1.3 por encontrarse anquilosado, proponemos una cirugía para la extracción del canino y la colocación de un implante inmediato con regeneración ósea y manejo de tejidos blandos con injerto de tejido conectivo. Rehabilitación adhesiva estética con técnicas directas e indirectas para aumentar la Dimensión Vertical disminuida.














