Esta página incluye imágenes de procedimientos quirúrgicos que podrían resultar explicitas.

Caso clínico
«Urgencia: fractura dental zona estética»
Paciente de 66 años, acude de urgencia por fractura dental en zona estética antero superior. Antecedentes médicos de interés, hipertensión arterial controlada, no fumadora (paciente ASA II).
Tras estudio y planificación 100% digital, proponemos colocación de implante con cirugía guiada y carga inmediata en el mismo día.
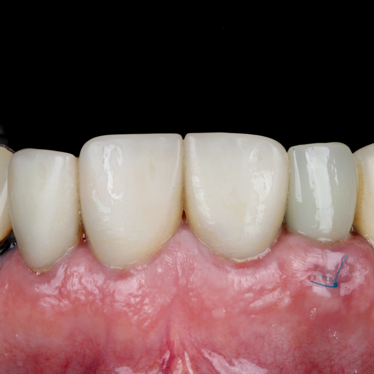
Se puede apreciar el proceso quirúrgico completo de colocación de un implante Klockner Vega con protocolo de cirugía guiada JSI.
Paciente actualmente en fase de provisionalización para correcto manejo de tejidos blandos.



























