Casos límite en implantología: ética profesional en pacientes con alto riesgo sistémico
La excelencia en implantología se basa en decisiones responsables: actuar con ética y prudencia es clave para garantizar tratamientos seguros en pacientes con riesgo sistémico.
Índice
En la práctica diaria, la verdadera diferencia entre una implantología excelente y una imprudente no está en la técnica, sino en la decisión de cuándo no intervenir. La ética en implantología dental implica reconocer los límites biológicos, sistémicos y personales de cada paciente, especialmente en casos con enfermedades de base, tratamientos médicos complejos o condiciones que comprometen la cicatrización.
En este post vamos a ver cómo es la mejor manera de abordar los diferentes inconvenientes que puedan llegar a surgir, con seguridad y respetos por la salud general del paciente.
Qué entendemos por “caso límite”
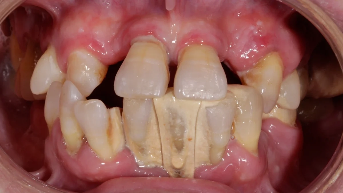
Se considera caso límite aquel en el que el estado de salud sistémica del paciente eleva significativamente el riesgo de complicaciones quirúrgicas o de fracaso implantario. Pacientes diabéticos descompensados, con osteoporosis avanzada, tratamientos anticoagulantes o inmunosupresores, e incluso fumadores intensos o pacientes oncológicos, requieren una valoración especial.
La implantología moderna ofrece diferentes técnicas avanzadas, cirugía guiada, injertos óseos, regeneraciones, pero ninguna supera el principio de prudencia clínica. En estos escenarios, una correcta comunicación médico-paciente, la coordinación con el médico de referencia y un plan realista son la base de toda decisión ética.
Ética en implantología dental: más allá del éxito estético
La ética en implantología dental no se reduce a seguir normas deontológicas; implica responsabilidad científica y moral. Cada decisión debe respetar el principio de no causar daño, y el de buscar un mejor resultado posible para el paciente.
Uno de los casos más comunes se ve en pacientes con diabetes tipo II mal controlada, la tasa de fracaso de implantes puede duplicarse respecto a individuos sanos. Según la European Association for Osseointegration (EAO, 2023), la implantología en diabéticos solo es recomendable si el control glucémico es estable durante al menos seis meses previos a la cirugía. En estos casos, el seguimiento interdisciplinar, odontólogo, endocrino, higienista, es esencial.
La ética profesional exige evaluar si el beneficio funcional justifica el riesgo sistémico y si el paciente comprende plenamente las implicaciones.

Casos reales: decisión, prudencia y acompañamiento
A lo largo de mi carrera he tratado diferentes casos que sirven como ejemplo donde el éxito se basó tanto en la técnica como en la decisión correcta:
- Pacientes polimedicados: implantes diferidos o sustituidos por prótesis removibles cuando el riesgo de osteonecrosis medicamentosa era alto.
Cada uno de estos casos refleja una misma filosofía: el tratamiento ético es aquel que respeta los límites del cuerpo y del tiempo biológico del paciente.


- Pacientes con pérdida ósea severa: reestructuración mediante injertos guiados, solo tras asegurar ausencia de enfermedad periodontal activa.


- Implantes post-oncológicos o con tratamientos médicos complejos: En varios casos se describen rehabilitaciones planificadas con oncólogos para evitar interferencias con radioterapia.


Comunicación y consentimiento informado
Ser ético también es ser transparente. El consentimiento informado no es una firma, es un proceso de diálogo. Explicar riesgos, alternativas y tiempos de recuperación en un lenguaje comprensible permite que el paciente participe de forma activa y responsable.
En la clínica Palafox, este proceso siempre lo realizamos antes de cualquier intervención: se detallan las limitaciones del tratamiento, los posibles efectos secundarios y las medidas de prevención necesarias. Esta comunicación clara reduce la ansiedad y fortalece la confianza mutua.
Innovación responsable: tecnología y criterio
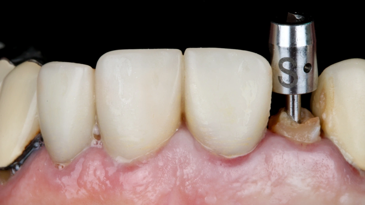
Las nuevas herramientas digitales, TAC 3D, cirugía guiada, planificación protésica virtual, han mejorado la precisión, pero no reemplazan la evaluación clínica. La ética consiste en usar la tecnología con criterio, no como argumento comercial.
En la práctica, la innovación está al servicio de la seguridad: cada planificación se revisa junto al estado sistémico del paciente antes de dar el paso quirúrgico. El objetivo no es colocar más implantes, sino asegurar que los que se coloquen funcionen de forma estable y saludable.

Como profesional ético no busco casos imposibles, sino soluciones seguras. Evaluar, derivar cuando sea necesario y saber decir “no es el momento adecuado” son también actos médicos. En implantología, la ética no se mide solo por resultados estéticos, sino por decisiones que protegen la salud general del paciente.
En la Clínica Dental Palafox de Zaragoza, combino la tecnología avanzada y criterio médico para abordar cada caso de forma personalizada y ética. Si presentas una condición sistémica o necesitas una segunda valoración sobre tu tratamiento de implantes, agenda tu primera consulta. Evaluaremos contigo las opciones más seguras y predecibles.