
«No quiero pegarme más la dentadura, quiero dientes fijos en el mismo día»
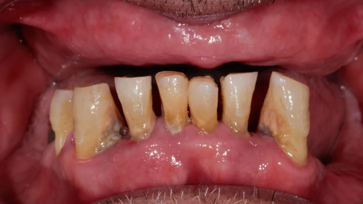
Paciente de 75 años, parcialmente edéntulo y portador de prótesis completa superior, acudió con el deseo de “volver a sonreír y comer sin dolor”, presenta hipertensión arterial controlada y apnea del sueño, ex-fumador (paciente ASA II).
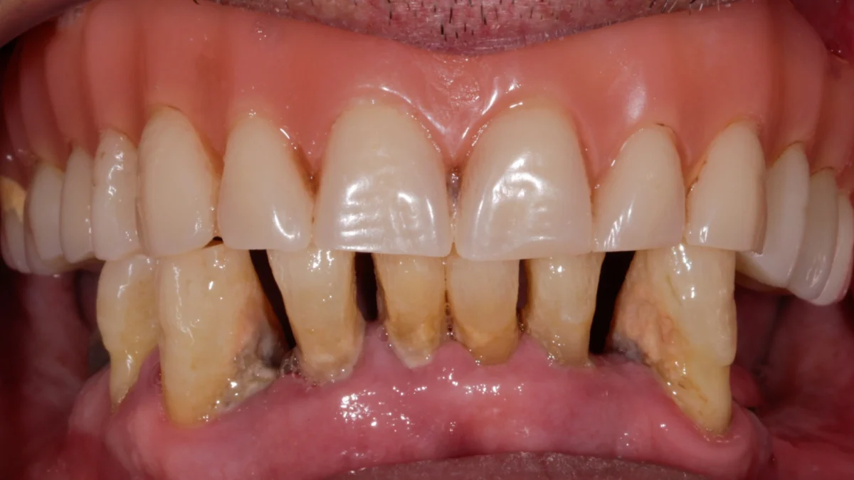
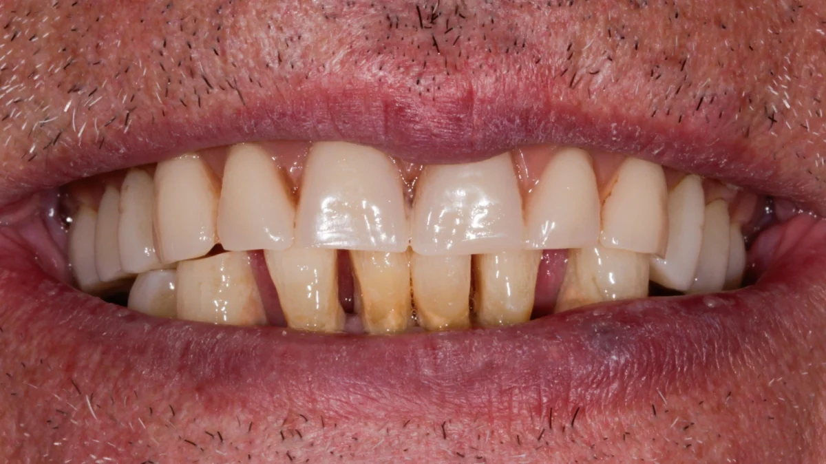
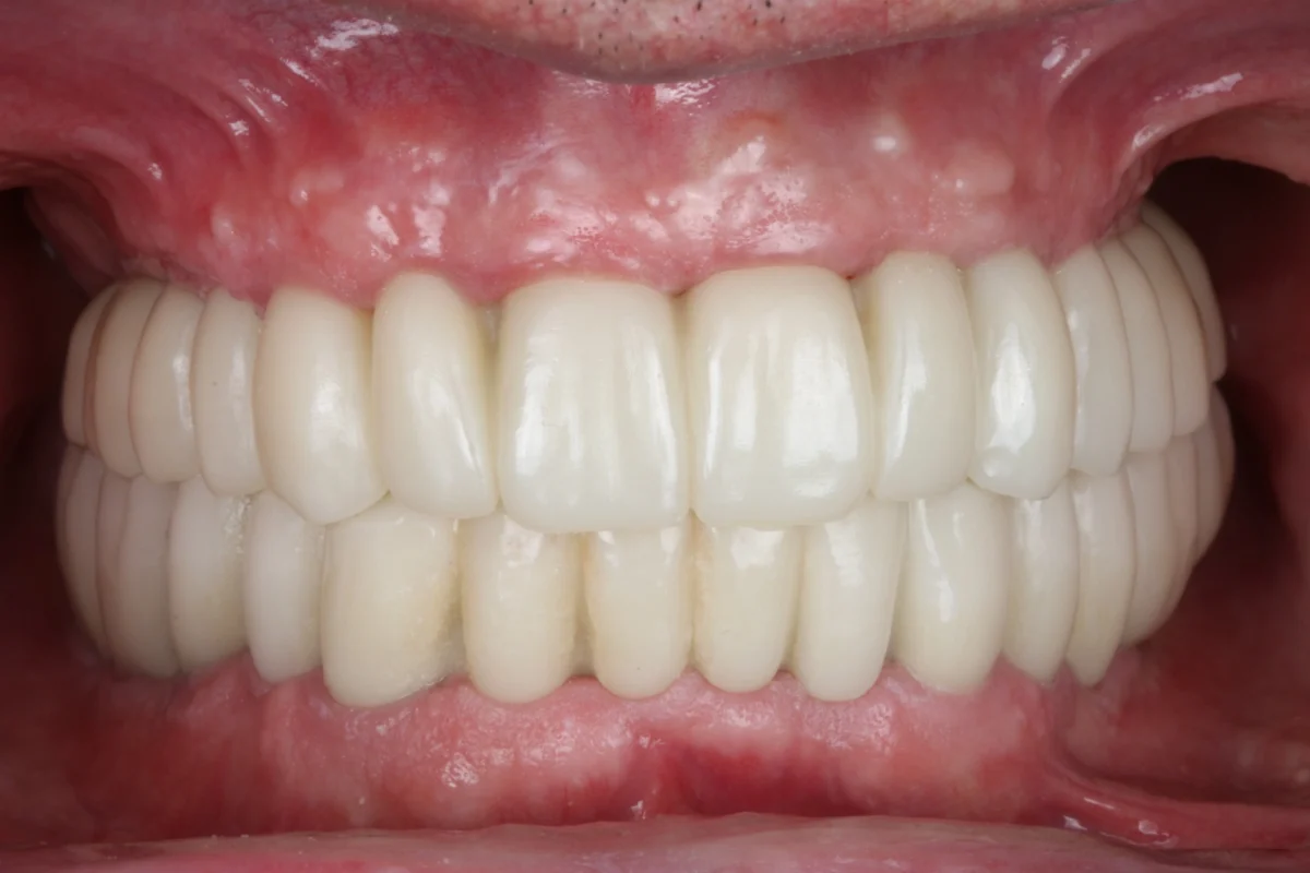
Tras realizar un estudio integral, se planicó una cirugía bimaxilar, bajo sedación consciente, para la colocación de implantes superiores e inferiores, con carga inmediata (dientes en el mismo día), para devolverle funcionalidad y estética desde el primer momento y conseguir un buen manejo de tejidos blandos. Finalmente tras una planicación 100% digital, se colocó una prótesis ja denitiva FP1 de Zirconio con estructura de titanio, asegurando un resultado estable, estético y duradero.
Este caso muestra cómo la planificación personalizada y los avances en tecnología pueden devolver la calidad de vida a nuestros pacientes en un corto plazo de tiempo, incluso en los casos mas complejos.










